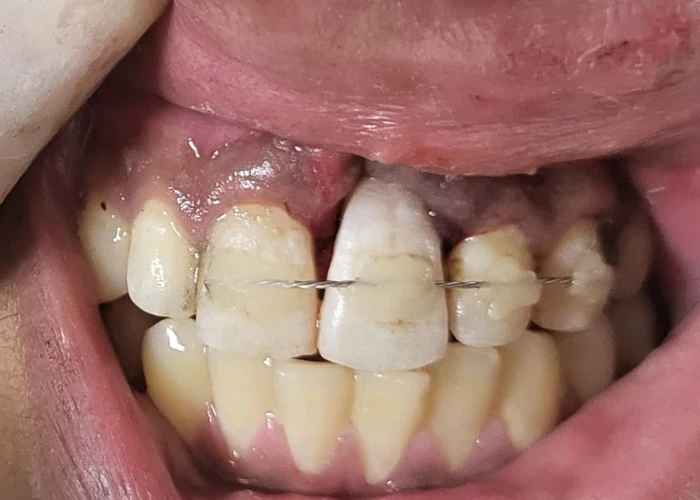
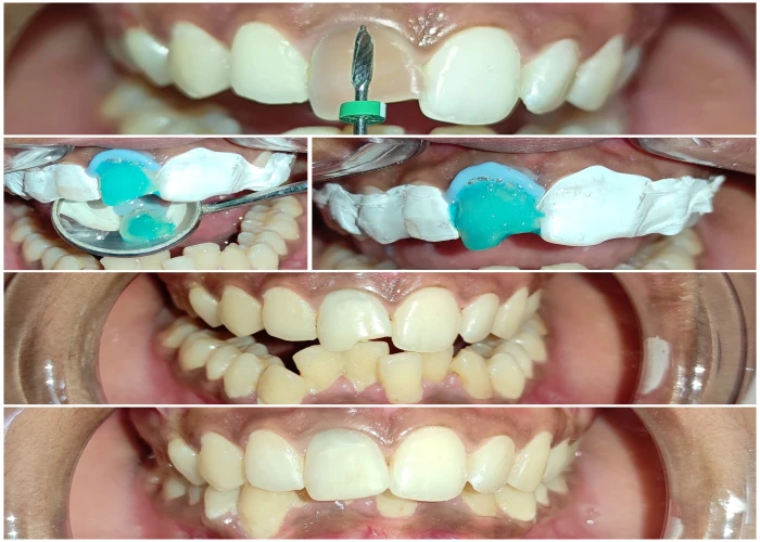
The Department of Pediatric Dentistry at Saraswati Dental College and Hospital, Lucknow, is dedicated to providing optimal and equitable preventive and therapeutic oral health care to infants and children, including those with special health care needs. In this lively and vibrant department, a child-centered approach is embraced, fostering an environment equipped with cutting-edge technologies such as VR and LCD TV screens, RVG machine, electro-cautery machine, and conscious sedation machine.
The child-friendly setting, coupled with a pleasant ambiance, addresses the unique needs of children and promotes good oral hygiene from an early age. This department stands as a colorful haven where comprehensive and compassionate dental care is tailored to ensure the well-being of our young patients.
Thrust Areas of the Department:
1. Pediatric Rotatory Endodontics
2. Non Pharmacological Behaviour Management
3. Dental caries and Prevention.
Q) What is Pediatric Dentistry?
It is a branch of dentistry and is an age defined specialty, that provides primary and comprehensive, preventive and therapeutic oral health care for infants and children, through adolescence, including those with special health care needs.
Q) Why Pediatric dentistry?
Pediatric dentistry is a dental specialty that deals with the care of children’s teeth, focused on diagnosing and treating children’s dental issues. A pediatric dentist works with children starting in infancy through young adulthood. They help children to achieve and maintain good oral health. Children are often nervous and afraid about going to the dentist and the doctor. A pediatric dentist is trained to keep children at ease and use special skills to make children comfortable. The staff at their office is also trained to work with children, they create a fun and comfortable environment for child patients.
Q) What are the differences between a Pediatric dentist and a General dentist?
Pediatric dentist specializes in dentistry for children, they have completed three additional years of training after the completion of their graduation in dentistry. Pediatric dentists go through lots of extra training as compared to graduate general dentist and other specialist dentist because children experience different dental issues than adults. Pediatric dentists are specially trained in child psychology and behavior guidance techniques to help ease the fears of children, and create a positive experience for them with a wide range of temperaments and developmental levels, whereas, a general dentist is a graduate who diagnose and treat the preliminary dental problems of people of all ages, they do not have a particular specialization.
Q) What are the Career options once one has become a Pediatric dentist?
Pediatric dentist can work as faculty in Govt./private dental or medical colleges, consultant in various Govt./private hospitals or can run their own exclusive Pediatric dental clinical/practice. One can also become an integral part of teams treating Cleft Palate cases. They are often involved in Multidisciplinary treatments for Pediatric Obstructive Sleep Apnea, Children with special health care needs besides routine clinical practice.
Description
Departmental operatory is colourful, vibrant and child friendly with cheerful play area. The atmosphere is very conducive for the children and every effort is made to instill in them a positive attitude and behaviour towards dentistry. It is equipped with children friendly behaviour management techniques like audio-visual entertainment, TV screen, toys, etc to give them the most comfortable environment while they get their dental treatment. Conscious Sedation (Nitrous oxide-oxygen inhalational sedation) machine is also successfully used in the department during routine dental procedures as safe alternative to keep the apprehensive patients relaxed so as to make them feel emotionally and physically comfortable throughout the treatment. With the sole objective: to keep the little ones smiling and prospering the treatment is provided by well-trained specialized staff to treat every child with individual attention. With advanced amenities and technology, Department also has a special air-conditioned clinic with facilities like digital X-rays (RVG), special automated dental chair, which has been set up for the treatment of special cases such as minor surgical procedures, specially abled children and patients who lack cooperating abilities.
Background of the department-
•Established in the year 1998 (With BDS intake - 60 per year)
•First MDS batch enrolled in 2005 with initial enrollment of 2 students.
•First MDS batch passed out in 2008.
•Expansion of MDS intake from 2 to 3 since 2012.
•Total Alumni till date- 40
•Patients treated in the last five years– approx. 65,000.
•Established in the year 1998 (With BDS intake - 60 per year)
•First MDS batch enrolled in 2005 with initial enrollment of 2 students.
•First MDS batch passed out in 2008.
•Expansion of MDS intake from 2 to 3 since 2012.
•Total Alumni till date- 40
•Patients treated in the last five years– approx. 65,000.
Vision-
To become specific centre of excellence in the field of Pediatric Dentistry
Mission-
•To provide quality academic education and training to the student.
•To become an acclaimed center of research in the field of Pediatric Dentistry.
•To reduce disease burden of the society by providing preventive and therapeutic oral health care.
Aim-
Practicing optimal oral health care for infants and children, including those with special health care need.
Objectives-
- To impart quality education to budding dentists
-
To render quality treatment to all patients irrespective of caste, creed, color, gender and race
-
To instill positive attitude among the students to adopt prime ethical dental modalities
-
To enhance professional enrichment and skill augmentation of students and faculties
-
To help students procure better knowledge through clinical work, research and publication.
MDS at Saraswati Dental College
GOALS AND OBJECTIVES OF THE CURRICULUM
1) GOALS.
The goal of the post-graduate training in various specialties is to train the graduate in Dental Surgery who will,
- practice respective speciality efficiently and effectively, backed by scientific knowledge and skill;
- exercise empathy and a caring attitude and maintain high ethical standards;
- continue to evince keen interest in professional education in the speciality and allied specialities whether in teaching or practice;
- willing to share the knowledge and skills with any learner, junior, or a colleague;
- to develop the faculty for critical analysis and evaluation of various concepts and views and to adopt the most rational approach.
2) OBJECTIVES.
The objective of the post-graduate training is to train a student so as to ensure higher competence in both general and special area of interest and prepare him or her for a career in teaching, research, and speciality practice. A student must achieve a high degree of clinical proficiency in the subject and develop competence in research and its methodology in the concerned field.
The objectives to be achieved by the candidate on completion of the course may be classified as under:–
- Knowledge (Cognitive domain)
- Skills (Psycho motor domain)
- Human values, ethical practice, and communication abilities
- KNOWLEDGE.
- demonstrate understanding of basic sciences relevant to speciality;
- describe etiology, pathophysiology, principles of diagnosis and management of common problems within the speciality in adults and children;
- identify social, economic, environmental, and emotional determinants in a given case and take them into account for planned treatment;
- recognise conditions that may be outside the area of speciality or competence and to refer them to the concerned specialist;
- update knowledge by self study and by attending courses, conferences, and seminars pertaining to speciality;
- undertake audit, use information technology and carry out research in both basic and clinical with the aim of publishing or presenting the work at various scientific gathering;
- SKILLS:
- take a proper clinical history, examine the patient, perform essential diagnostic procedures and order relevant tests and interpret them to come to a reasonable diagnosis about the condition;
- acquire adequate skills and competence in performing various procedures as required in the specialty.
- HUMAN VALUES, ETHICAL PRACTICE AND COMMUNICATION ABILITIES.
- adopt ethical principles in all aspects of practice;
- foster professional honesty and integrity;
- deliver patient care irrespective of social status, caste, creed, or religion of the patient;
- develop communication skills, to explain various options available and obtain a true informed consent from the patient;
- provide leadership and get the best out of his team in a congenial working atmosphere;
- apply high moral and ethical standards while carrying out human or animal research;
- be humble and accept the limitations in his knowledge and skill and to ask for help from colleagues when needed;
- respect patients’ rights and privileges including patient's right to information and right to seek a second opinion.
Counseling
Eligibility Criteria
Document Checklist
Fees
Do You Have Questions?
Below you’ll find answers to some of the most frequently asked question. We are constantly adding most asked question to this page.
Yes, 100 bedded Saraswati General hospital within the campus provides specialized Healthcare facilities and 24* 7 emergency services.
There are plenty of facilities available for extra co-curricular activities and sports on the campus e.g. well equipped wellness centre, Cultural clubs, Indoor and Outdoor sports complex to facilitate holistic and overall personality development.
Yes, the fee is to be paid on the day of counseling/admission by demand draft.
Refundable Security Fee and College Tuition Fee will have to be mandatorily deposited at the Counseling Nodal Centers nominated by the DGME, Uttar Pradesh at the time of counseling/ admission.
Yes. The college has transport facility on predefined routes and students can utilize the services at a fee.
The college has tie up with Union Bank of India to provide Education loan to our students. But, the candidate and/or his parent must satisfy the Bank requirements to avail Educational loan.
1. Chaudhary Charan Singh International Airport –34 km 2. Charbagh Railway station– 22km 3. Gomti Nagar Railway Station– 8.3km
Student security is ensured by the security personnel located at all the entrances to the institution and hostels round the clock. The students are not allowed to leave the campus without permission of Provost/Principal. In house Warden is also available in boys and girls hostel.
There is no other way of admission. NEET qualification and participation in online counseling is must for seeking admission in BDS course.
Yes, all admitted candidates are entitled for Hostel accommodation on a first cum first serve basis. We have separate hostels for boys and girls on the campus itself with resident Wardens, who ensure discipline, safety and security of the students.
Fresh hygienic food is served in the dining hall prepared in the hostel mess. A Cafeteria is also present in the campus. The mess fee is included in the Hostel fees.
No, Candidates need to pay only the prescribed fees as per the guidelines of the Uttar Pradesh Govt. and the affiliating university.
(a) Candidate should be 17 years of age as on 31st December of the year of admission. (b) Candidate must have passed Class 12th with Physics, Chemistry, Biology with minimum of 50% marks in aggregate and passed in English for General Category and 40% marks in Physics, Chemistry and Biology in aggregate and passed in English for Reserved Category. (c) Candidate should have qualified in NEET–UG examination in the year of admission.
Candidate must have passed BDS Course from a recognized Dental College. Must be NEET qualified with requisite percentile & registered with State Dental Council.
Students are taught by highly qualified faculty as per the academic schedule laid down by the University. Students are encouraged to participate in Extracurricular activities also and additional training is provided to them within the framework of the course. Students who lag behind in academics are helped with remedial classes. The institution has an established Mentor-Mentee system wherein all the students are attached to mentors, whom they can approach throughout their course for any help and guidance.
Four years course plus one year Compulsory rotatory internship.
Three Years
Govt. of Uttar Pradesh decides fee structure every year. Ist year fee will have to be deposited to the DGME, Uttar Pradesh at the time of seat allotment. Fee for the next three years will have to be paid in the institution in the following years.
Presently, fee is Rs. 6,00,000/- per annum for 3 years. Fee may be revised by Govt. of Uttar Pradesh from time to time.
On declaration of NEET result, following the directions of the Government of India, Dental Council of India and policies laid down by Govt. of Uttar Pradesh; online counseling is conducted by the specified committee. Admission letters are issued thereafter to the eligible candidates on merit basis by the counseling committee.
NEET Qualified. The candidate will be admitted through UPNEET PG online counseling.
After completion of BDS Course, the student may opt to go for further study or job. Regular Jobs are available in Govt. and Private Sector. Starting own private practice is also an attractive option. Those who want to continue studying further can enroll for MDS course available in various specializations of Dental Sciences and be further connected with academics, research or specialty private practice.
Paperless application process has been adopted by the institution and all relevant information is available on the college website and same is updated regularly.
www.updgme.in and upneet.gov.in
Foreign nationals or Non Resident Indians or Indian nationals supported by parents or brother or sister or spouse having NRI status can apply under the Foreign/ NRI category, provided they have qualified in NEET examination.
Refund is done as per the refund rules as mentioned in the information section on the website.





