Objective: The present study evaluated the quality and quantity of new bone formation in the maxillary sinus lift procedures and stability of implant...
Objectives: Obstructive Sleep apnea (OSA) is characterized by complete or partial obstruction of upper airflow despite the effort to breathe, leading...
BackgroundPeriodontal treatment in diabetic patients reduces systemic inflammatory burden and hence should be closely coordinated with the patient&rs...
Purpose: Assessment of children’s behavior in the dental setting and its correlation with thumb print and lip print.Materials and methods:...
IntroductionTo evaluate and compare the rate of intrusion and root resorption of maxillary incisors by three different intrusion...
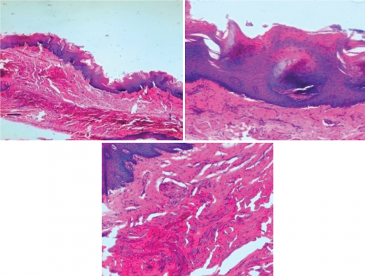
ABSTRACT Background: Since its discovery in 1859, formalin has been considered as the “gold standard” in tissue fixation. As formalin is...
Introduction: Dental identification can be done on the basis of “sexual dimorphism,” which refersto the differencesin size,stature and ap...