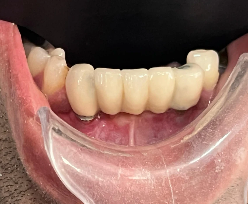
A case of Implant supported fixed dental prosthesis. Patient came to department of prosthodontics and crown & bridge with chief complaint of missing anterior teeth, he was given treatment options like FPD, Cast Partial Denture and Implant supported FPD. The treatment of choice was Implant supported FPD.