The patient came to the Department of Oral Medicine and complains of delayed eruption in lower front region of the jaw since 16 yr and irregular size and shape of the teeth in maxillary and mandibular region of the jaw since eruption of the teeth.
Pt has a history of the same condition in her family, including her 3 siblings and one paternal aunt.
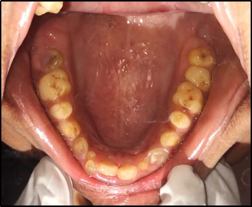
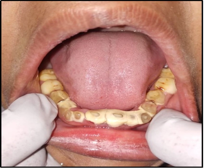
On intra-oral examination generalized loss of cervico-occlusion height and colour of the teeth appeared opalescent and brown in colour.
On the basis of history, clinical examination, and radiographic investigation final diagnosis was given as Amelogenesis imperfecta- Hypoplastic Type.
In patients with hypoplastic amelogenesis imperfecta, the basic alteration centers on inadequate deposition of enamel matrix. In the generalized pattern, pinpoint-to-pinhead–sized pits are scattered across the surface of the teeth and do not correlate with a pattern of environmental damage. The buccal surfaces of the teeth are affected more severely. Both dentitions, or only the primary teeth, may be affected. All of the teeth may be altered, or only scattered teeth may be affected.
Appropriate treatment for amelogenesis imperfecta is restoration of the esthetics and function of the affected teeth.