Introduction:
When RCT is not enough to keep the area from getting infected again, periapical surgery (also known as an apicoectomy) is the next step. In this procedure, the tooth’s root and infected tissue are removed, and a filling is used to seal the end of the root.
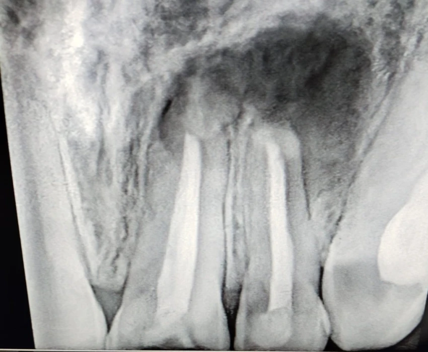
Chief complaint - a recurring swelling in front tooth region, with pus discharge since 6 months and pain since 3 weeks
Diagnosis: Periapical abscess wrt 21,22
Treatment plan: RCT wrt 21 and 22 followed by periapical surgery.
Treatment done:
The endodontic treatment was initiated wrt 21 & 22, working length determined and BMP completed. The presence of sinus opening and lack of any discharge from the canals, implored the need for calcium hydroxide dressing, following which, the sinus opening resolved and obturation was done. Apicoectomy was performed wrt 21&22, retrograde cavity was restored with biodentine and the lesion was curretted and packed with PRF to promote better healing. The patient was asymptomatic at his 7-day follow up and exhibited uneventful healing.