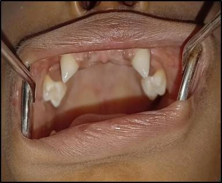
A 5 years old male patient reported to the Department of Oral Medicine and Radiology with a chief complaint of delayed eruption of teeth in lower front region of jaw since 2 years. Diagnosis of Hypohidrotic ectodermal dysplasia was given.
Hypohidrotic ectodermal dysplasia (HED) is characterized by hypotrichosis (sparseness of scalp and body hair), hypohidrosis (reduced ability to sweat), and hypodontia (congenital absence of teeth).The cardinal features of classic HED become obvious during childhood.Physical growth and psychomotor development are otherwise within normal limits.
HED is caused by a mutation in ectodysplasin A gene located at Xq12‑q13.1.
Condition shows mainly X‑linked recessive inheritance severely affecting males, while females show only minor defects.
Diagnosis is based on the episodes of hyperpyrexia, lack or type of the hair, absence of teeth and tooth buds and tooth morphology. Molecular testing approaches can include serial single-gene testing and a multigene panel.
Management mainly includes treatment of manifestations such as prosthetic rehabilitation, therapeutic lubricating agents to prevent xerostomia, humidification of air and avoidance to extreme heat.