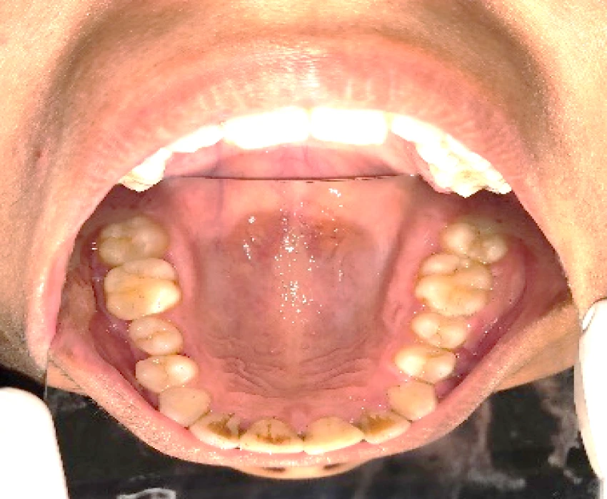
A 20 years old female patient reported to the department of oral medicine and radiology with a chief complaint of pain and swelling in the upper left back region of the jaw since 1 year. Provisional diagnosis was made as Gingival Fibromatosis.
Gingival Fibromatosis is also known as elephantiasis gingivae, hereditary gingiva fibromatosis, congenital macro gingivae. Gingival fibromatosis is a diffuse fibrous over growth of the gingival tissue, caused by a collagenous over growth of gingival fibrous connective tissue. In majority of cases, the condition is expected to be hereditary but, in some cases, it has appeared to be sporadic.
Conservative treatment consists of gingivectomy in conjunction with rigorous program of oral hygiene.