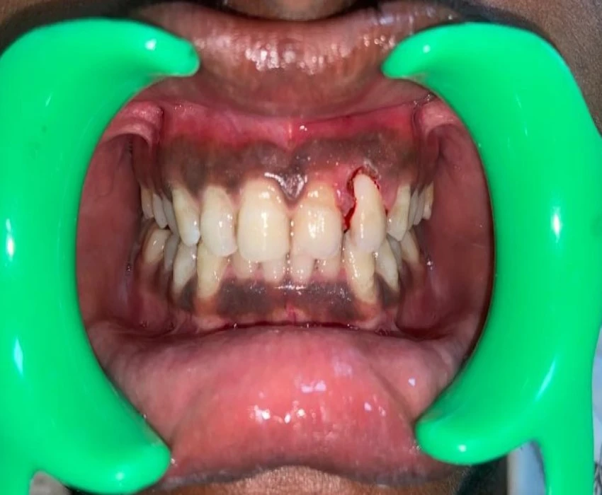
A 19 years old male patient reported to the Department of Oral Medicine and Radiology with a chief complaint of growth in left upper front region of jaw since 2 years. It was diagnosed as Pyogenic Granuloma i.r.t. 22 and differential diagnosis of Peripheral Ossifying Fibroma was given and the final diagnosis came out to be as Peripheral Cemento-ossifying Fibroma as per histopathological analysis.
Peripheral cemento-ossifying fibroma is a reactive gingival overgrowth commonly seen in anterior maxilla. It is a focal, reactive, slow-growing, non-neoplastic tumor-like growth of soft tissue, often arising from the interdental papilla. It may lead to pathologic migration and other periodontal problems.
It can occur at any age but is more common in children and young adults. Female predilection is seen which ranges from 2:1-3:2. Slight predilection for Maxilla is also seen. More than 50% of all cases occur in the incisor-cuspid region. It occurs exclusively on the gingiva and accounts for 3.1% of all oral tumors and for 9.6% of gingival lesions.
LASER excision of the lesion was done.