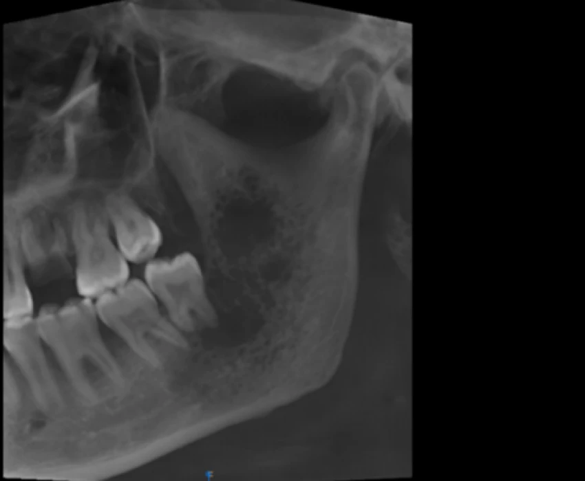
A patient reported to our department with a chief complaint of pain in lower left back region of jaw since 1 month and diagnosed as Carcinoma Involving Left Mandibular Buccal Vestibule and Alveolus Extending Upto Ramus and was treated for the same.
Head and neck cancer is the seventh most common type of cancer worldwide and comprise of a diverse group of tumours affecting the upper aerodigestive tract. Although many different histologies exist, the most common is squamous cell carcinoma. Predominant risk factors include tobacco use, alcohol abuse, and oncogenic viruses, including human papillomavirus and Epstein-Barr virus. Head and neck malignancies remain challenging to treat, requiring a multidisciplinary approach, with surgery, radiotherapy, and systemic therapy serving as key components of the treatment of locally advanced disease.
Surgical management was done.