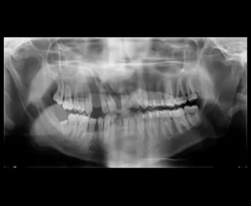
Case study- 18 year old came to the department with a chief complain of swelling on right side of face since 13 years.
Review Literature- Provisional diagnosis was given as Hemifacial Hyperplasia.
Differential Diagnosis was given as – Neurofibromatosis & Arteriovenous Malformation
Following investigations were carried out
Radiographs
Biopsy
CECT
Procedure- Final Diagnosis came to be Benign Peripheral Nerve Sheath Tumor.