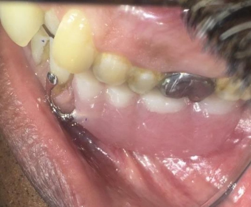
Patient-reported with a collapsed bite & vertical to the Department of prosthodontics. His chief complaint was inefficient bite force due to existing severely worn-out teeth. After clinical evaluation & radiographic assessment, we have proposed a full mouth rehabilitation with an adjunct to 3D printed cast partial denture. After obtaining the patient consent, in the first phase, we have delivered the bite-raising appliance to the patient followed by a root canal of the severely worn out natural teeth. The complete digital planning & extral oral scanning done of the final impression of the lower arch on the benchtop scanner with outsourcing laboratory. After trial of the 3D printed cast partial denture framework, Full mouth rehabilitation with PFM crown & 3D printed cast partial denture was done. Patient was satisfied with this new digital technological advancement available at our institute in the Department of prosthodontic & crown & Bridge.