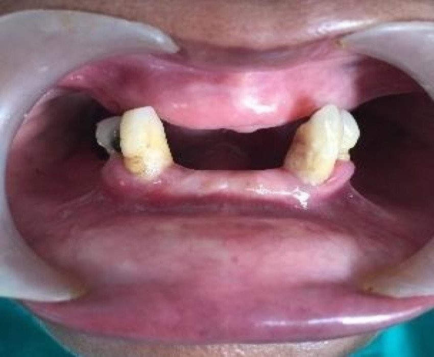
Patient reported to the Dept. of prosthodontics at Saraswati Dental College & Hospital with a chief complaint of replacement of missing teeth due to inability to chew properly. As retention is always a challenge in the fabrication of lower denture. After complete clinical & radiographic evaluation we have proposed mandibular bar supported overdenture & maxillary conventional complete denture to the patient. After obtaining patient consent, Dolder Bar precision attachment overdenture delivered to the patient to improve the retention of the lower denture as well as improve proprioception by preserving the existing teeth. Patient was highly satisfied with the esthetic and retention of both the denture.