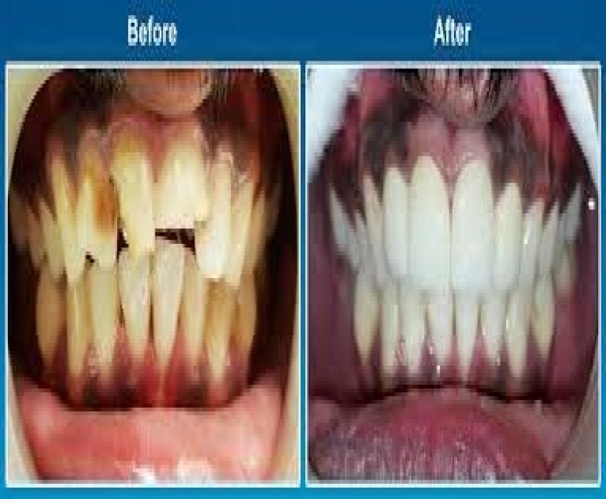
A smile design is a dental procedure which artistically creates straighter, whiter and beautiful natural looking smiles. Smile designs can do wonders to fully restore your dental health and appearance regardless of the original state of your existing teeth.
Components of Smile designing
In order to achieve a good smile, proper facial and dental components are required. A few of them are:
- The shape of the jaws
- The shape of the face
- The position of the eyes
- The width of lips.
The Shape of the Face:
To complete successful treatment, a proper alignment, symmetry and proportion of the face is required. This treatment includes multidisciplinary dental approach like orthodontics, orthographic surgery, gum treatment and plastic surgery. The horizontal and vertical dimensions of the face also play a vital role.
The size, shape, position, width, location, built, health and other dimensions of the jaws, eyes and lips help in achieving a beautiful aesthetic smile.
Vital Elements of Dental Composition
Apart from the natural looks of an individual, the following dental elements are very much desirable.
Hard tissue (Tooth) Components:
- The midline between both upper and lower jaws which divides them equally
- The length of upper and lower front teeth
- The length and width of teeth
- Presence of number of joints among teeth
- Sex, symmetry and age
- Overall symmetry and balance of all these components
Soft Tissue Components
- Healthy gums are desired
- The level and symmetry of gums present in both the jaws
- Smile line (the extent up to which a person can smile)