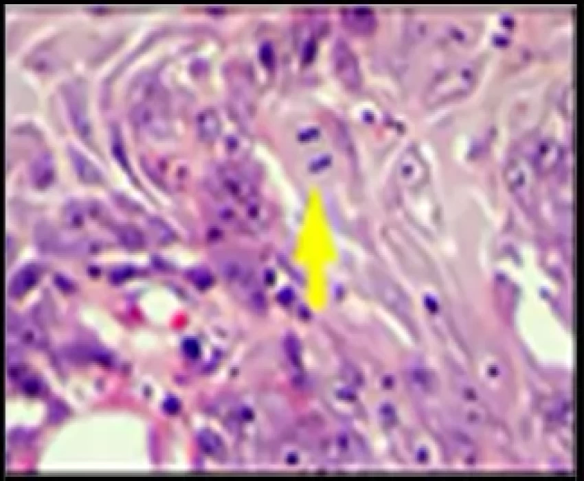
Human body is the result of mitotic proliferation in accordance with cellular diversification. The various chromosomal arrangement in mitotic cells are referred to as mitotic figures which can be appreciated in tissue sections as different phases of mitosis. Excessive proliferation of cells due to increased mitosis is the hallmark in oral precancer and cancer. Haematoxylin and Eosin stain is routinely used for the estimation of mitotic figures but the distinction between a pyknotic nucleus, an apoptotic cell and a mitotic cell in a routinely stained tissue section may pose a problem. Errors in identifying a mitotic cell can thus weaken the reliability of histological grading due to the loose use of morphologic criteria. The present study was undertaken with the aim to compare and evaluate the staining efficacy of Haematoxylin and Eosin, Crystal Violet, Toluidine Blue, Feulgen and Giemsa stain in identification of Mitotic Figures in Oral Squamous Cell Carcinoma (OSCC) and to further find the best stain for identification of Mitotic Figures.
Mitosis remains restricted to somatic stem cells that eventually repair injuries, and to committed stem cells that substitute for tissue turnover.It is a highly dynamic process and the various stages of include Prophase, Prometaphase, Metaphase, Anaphase and Telophase.The various chromosomal arrangement in mitotic cells are referred to as mitotic figureswhich can be appreciated in tissue sections as different phases of mitosis.Nuclear abnormalities like pyknotic nuclei, broke egg apprearance, binucleation, micronuclei and increased number of normal and abnormal mitotic figures are caused by variable genetic alterations owing to any defect during the process of mitosis. Excessive proliferation of cells due to increased mitosis is the hallmark in oral precancer and cancer.
Cancer is an important public health problem in many parts of the world, and oral cancer is the second most common cancers worldwide (3% around the world and 50-70% in India of all the diagnosed cases of cancer).Arnold (1879) was the first to observe that the cells of malignant tissues multiplied by Mitosis. In cases of carcinomas, it was observed by Von Hansemann (1890) that mitotic divisions resulted in unequal number of chromosomes for each daughter cell along with many instances of multipolar mitosis. After studying many carcinomas he concluded that asymmetrical Mitosis constituted a definite diagnostic characteristic of carcinomas. Despite the newest techniques with lights, rinses and various tests, the gold standard in any unexplained findings is biopsy for microscopic confirmation. Increased and abnormal mitotic figures indicate genetic damage. Thus identification and quantification of mitotic figures forms an indispensible part of histopathological diagnosis and thus the treatment of OSCC.Therefore, mitotic figure counting is widely used in pathological diagnosis to assess rate of proliferation of the carcinoma and is also valuable in the assessment of prognosis. There are sparse studies, wherein identification of Mitotic figures has been done by using simple histochemical methods.Haematoxylin and Eosin (H.E) has been used for more than 130 years and is the most popular histological staining method used in routine microscopy and histopathology. The H.E is an effective stain for demonstrating major histological structures, particularly nuclei which are most important structures in viewing histological sections for pathological changes.
Crystal violet (CV) also known as Gentian violet (GV) or methyl violet is a triphenylmethane dye with anti-bacterial, anti-fungal, anti-helminithic, antitrypanosomal, anti-angiogenic and anti-tumor properties.
Toluidine blue (chemically known as tolonium chloride) is an acidophilic metachromatic dye and it selectively stains acidic tissue components like sulfates, carboxylates, and phosphate radicals. Toluidine blue (TB) has an affinity for nucleic acids, and therefore binds to nuclear material of tissues with a high DNA and RNA content.The Feulgen nuclear reaction since its development by Feulgen & Rossenbeck in 1924 has been considered reliable for the cytochemical localization of DNA.
Giemsa solution is a mixture Romanowsky type of dye which consists methylene blue and its degradation products along with eosin Y in alcoholic solvent. The staining mechanisms of the Giemsa dye are not completely understood.Hence this study was carried out to find a better alternative staining technique in the identification of mitotic figures as the number of mitotic figures seen in the tissue sections is an important factor in grading malignancies and also in the determination of prognosis.
All five stains used in the current study can easily identify mitotic figures and can be used for counting of mitotic figures but have certain advantages and disadvantages.
Routinely, haematoxylin and eosin stain is used for the estimation of mitotic figures but the distinction between a pyknotic nucleus, an apoptotic cell and a mitotic cell in a routinely stained tissue section may pose a problem. Errors in identifying a mitotic cell can thus weaken the reliability of histological grading due to the loose use of morphologic criteria. Thus, this study was conducted to evaluate the efficacy of various stains like Haematoxylin and Eosin, Crystal Violet, Toluidine Blue, Feulgen and Giemsa to stain mitotic figures.
Feulgen was found to be the best stain for identification of mitotic figures and should be used in routine staining to count mitotic figures, thus, in turn giving an insight into the aggressiveness of the lesion.