Department of Periodontology has collaboration with Birbal Sahni Institute Of Paleosciences to conduct research studies.
Department of Periodontology has a collaboration with CSIR-IITR Indian Institute of Toxicology Research to conduct research studies.
INTRODUCTIONOral health is an integral part of general health and toothbrushes are necessary for daily oral hygiene,but residues remaining on their b...
Introduction: Immediate implant with socket shield and immediate implant without socket shield are the two techniques which can be used to preserve t...
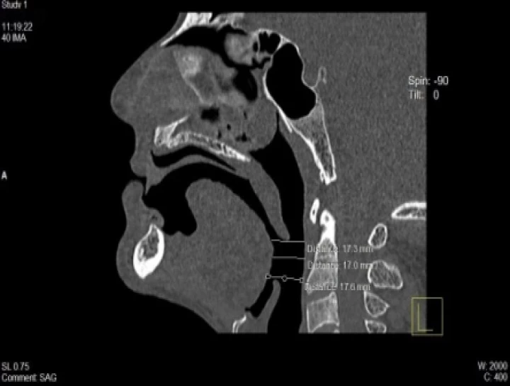
Purpose: This study was an attempt to verify the utility of complete dentures modified as a mandibular advancement device (MAD) in effecting expansio...
PurposeThe present study was conducted to evaluate the impact of scaling and root planing (SRP) on the C-reactive protein (CRP) levels of gingival cr...
Aim: To assess the effects of different bleaching procedures on the mineral component and surface topography of the enamel using scanning electron mi...
Objectives: The study aimed to correlate the different lengths, angles of insertion and the mini-implant material and determine the most retentive co...
Background: Oral cancer is one of the most common neoplasms worldwide with a high mortality rate in spite of advanced treatment modalities, which is...
Background: Oral cancer is one of the most common neoplasms worldwide with a high mortality rate in spite of advanced treatment modalities, which is...