Aesthetic dentistry includes wide range of invasive procedures that is performed successfully by the department's highly skilled doctors . The department of conservative dentistry prepares post-graduate students to carry out these procedures with proficiency. (Introduction)
Within the field of conservative dentistry, aesthetic dentistry aims to maintain and improve teeth's natural appearance while maintaining their structural integrity. In this area of dentistry, techniques and materials that support both dental health and aesthetic appeal are highly valued. The branch provides patients with a range of treatment options for aesthetic correction such as veneers, diastema closure, smile design, teeth whitening (bleaching), cosmetic contouring etc. Achieving satisfactory cosmetic outcomes requires not only appropriate patient selection but also proper training and expertise of various aesthetic procedures.
An attractive smile is a prime asset to a patient’s appearance as it contributes immensely to a positive self image. Aesthetic considerations in both conservative dentistry and endodontics extend beyond the technical aspects. Practitioners in these fields must have a keen eye for proportion, symmetry, and color matching to ensure that any restorative work seamlessly integrates with the patient's natural dentition. This holistic approach not only enhances the patient's smile but also boosts their confidence and quality of life. The department of conservative dentistry emphasize more on the technicalities of the procedures performed to ensure proper treatment provided to the patient.
Aesthetic dentistry includes wide range of invasive procedures that is performed successfully by the department's highly skilled doctors . The department of conservative dentistry prepares post-graduate students to carry out these procedures with proficiency. (Introduction)
Within the field of conservative dentistry, aesthetic dentistry aims to maintain and improve teeth's natural appearance while maintaining their structural integrity. In this area of dentistry, techniques and materials that support both dental health and aesthetic appeal are highly valued. The branch provides patients with a range of treatment options for aesthetic correction such as veneers, diastema closure, smile design, teeth whitening (bleaching), cosmetic contouring etc. Achieving satisfactory cosmetic outcomes requires not only appropriate patient selection but also proper training and expertise of various aesthetic procedures.
An attractive smile is a prime asset to a patient’s appearance as it contributes immensely to a positive self image. Aesthetic considerations in both conservative dentistry and endodontics extend beyond the technical aspects. Practitioners in these fields must have a keen eye for proportion, symmetry, and color matching to ensure that any restorative work seamlessly integrates with the patient's natural dentition. This holistic approach not only enhances the patient's smile but also boosts their confidence and quality of life. The department of conservative dentistry emphasize more on the technicalities of the procedures performed to ensure proper treatment provided to the patient.
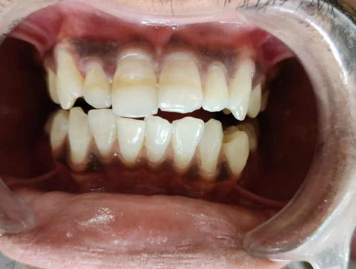
Case I: VITAL BLEACHING
Professional bleaching is the most usual method of tooth whitening, an effective way of lightening any tooth discoloration without removing any of the tooth surface.
CASE II: ESTHETIC MIDLINE DIASTEMA CLOSURE
CASE III: MIDLINE DIASTEMA CLOSURE WITH ANGLE BUILD UP
CASE IV: CARIOUS ANTERIORS RESTORED WITH DIRECT COMPOSITE RESTORATION
Repair of broken and decaying teeth with minimal invasive techniques including direct bonding of composite resin or tooth colored restoration improve a patient's smile, the overall cosmetic harmony in addition to solving functional issues.
CASE V: AESTHETIC CORRECTION WITH DIRECT COMPOSITE VENEERING